Aparelho dentário Belém

Aparelho dentário Belém
O tratamento ortodôntico(Aparelho dentário Belém) é uma das ferramentas da odontologia para corrigir o mal posicionamento dos dentes, com repercussão importante na estética do sorriso e da face como um todo.
Se você um dia pensou que seu sorriso não parecia exatamente com aquele que você gostaria, você poderá tirar grande proveito das informações que iremos apresentar a seguir. A ortodontia é uma especialidade da odontologia que trata do diagnóstico, prevenção e correção do posicionamento dos dentes e dos maxilares, decorrentes de padrões de mordida errados. Ela também pode se concentrar na modificação do crescimento facial, conhecida como Ortopedia Dentofacial ou Ortopedia dos Maxilares. Muitas vezes, as pessoas confundem o termo ortodontia com o uso do aparelho dentário, que é um dos recursos usados pelo ortodontista para corrigir o posicionamento dos dentes, mas o potencial vai muito além disso.
A Ortodontia pode utilizar-se de diversos recursos para proporcionar a modificação dos dentes e dos maxilares com o objetivo de corrigir problemas de alinhamento dos dentes. Dentre esses recursos, o mais comum deles é o aparelho dentário (bráquetes), mas também podem ser usados os alinhadores dentais (ou alinhadores invisíveis) e uma série de aparelhos ortopédicos.
Quais as vantagens de realizar um tratamento ortodôntico?
Os benefícios do tratamento ortodôntico incluem uma boca mais saudável, com maior facilidade de manter a higiene oral de forma satisfatória, além de uma aparência mais agradável. Podem ser auxiliares no tratamento de pacientes que apresentam dores orofaciais, como a disfunção de ATM.
O desalinhamento dos dentes e maxilares é bastante comum, sendo observado em cerca de 50% da população de acordo com a Associação Americana de Ortodontia. Essas pessoas teriam mordidas erradas (má oclusão) graves o suficiente para se beneficiar do tratamento ortodôntico.
Desta forma, podemos supor que metade das pessoas apresentariam certo grau de desalinhamento dos dentes e que poderiam se beneficiar com o tratamento ortodôntico.
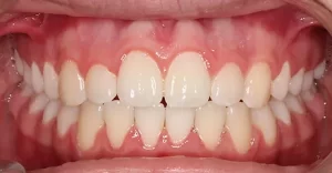
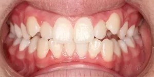
O mal posicionamento dos dentes, além do notório comprometimento estético, cria problemas mastigatórios, dificulta a higienização dos dentes, altera a movimentação da mandíbula e pode estar por trás de uma séria de problemas bucais, assim como de dores faciais observados em pacientes com disfunção da ATM.


Movimentação dentária decorrente do tratamento ortodôntico, com correção do posicionamento dos dentes e melhora da estética do sorriso.
Como posso saber se preciso de Aparelho dentário?
Nos casos mais graves, é bem visível que os dentes não se encontram alinhados, mas é de fundamental importância que você se consulte com um ortodontista a fim de definir se você poderia se beneficiar do tratamento ortodôntico. Com base em ferramentas de diagnóstico que incluem um histórico completo de saúde odontológica e médica, um exame clínico, modelos da sua arcada dentária, raios-X e fotografias especiais, um ortodontista pode decidir se a ortodontia é recomendada e desenvolver um plano de tratamento correto para você.
Se você possui algum dos seguintes problemas, pode ser um candidato ao tratamento ortodôntico:
- "Mordida Profunda", às vezes chamada de “Overbite” - onde os dentes frontais superiores ficam muito profundos em relação aos dentes inferiores, sendo que estes últimos quase não aparecem.
- “Trespasse Horizontal Acentuado” ou “Overjet Acentuado” - nos quais a distância horizontal entre as arcadas é bastante evidente, ou seja, os dentes frontais superiores ficam muito a frente dos dentes inferiores.
- Prognatismo Mandibular - uma aparência de "buldogue" em que os dentes inferiores estão muito para a frente e/ou os superiores muito para trás. Esse quadro pode ou não estar associado à Mordida Cruzada Anterior.
- Mordida Cruzada Anterior - quando os dentes inferiores estão posicionados à frente dos superiores, causando uma “inversão” da mordida na região anterior.
- Mordida Cruzada Posterior - quando a arcada inferior está mais larga que a superior (em parte, ou como um todo), causando uma inversão da mordida no sentido transversal, na região de molares e pré-molares.
- Mordida Aberta - quando há um espaço entre as superfícies de mordida dos dentes. Pode ocorrer na região anterior ou posterior.
- Desvio de Linha Média - quando o centro dos Incisivos Centrais Superiores não se alinha com o centro dos Incisivos Centrais Inferiores, ou quando um desses centros não se alinha com o centro da face.
- Diastemas - quando há espaços entre os dentes.
- Apinhamento dentário - quando os dentes estão “montados” ou “encavalados” devido à ausência de espaço para acomodar todos os dentes na arcada.
Como funciona o tratamento ortodôntico?
Muitos tipos diferentes de aparelhos, fixos e removíveis, são usados para ajudar a mover os dentes, retreinar os músculos e manejar o crescimento dos maxilares. Esses aparelhos funcionam colocando uma leve pressão sobre os dentes e maxilares. A gravidade do seu problema determinará qual abordagem ortodôntica será a mais eficaz.
Os tipos de aparelhos fixos incluem:
- Aparelhos convencionais (bráquetes) - os aparelhos fixos mais comuns, utilizam os bráquetes e arcos para promover a movimentação dentária. Os bráquetes são fixados aos dentes e costumam ser colados na parte frontal. Os fios do arco são passados pelos bráquetes e presos com elásticos ou fios metálicos. O aperto do fio do arco coloca tensão nos dentes, movendo-os gradualmente para a posição correta.
Os aparelhos são geralmente ajustados mensalmente para produzir os resultados desejados, que podem ser alcançados dentro de alguns meses a alguns anos. Os bráquetes de hoje são menores, mais leves e exibem muito menos metal do que no passado.

Aparelho dentário Belém
Um série de aparelhos fixos estão disponíveis para realizar a movimentação dentária através da ortodontia. Dente as opções incluem os aparelhos metálicos e os aparelhos estéticos, que usam braquetes transparentes ou da cor dos dentes.
- Aparelhos removíveis (alinhadores) - a mais recente alternativa aos aparelhos tradicionais para adultos, os alinhadores dentais estão sendo usados de forma cada vez mais frequente e eficiente para movimentar os dentes da mesma forma que os aparelhos fixos funcionam, só que sem fios metálicos e braquetes.
Os alinhadores são praticamente invisíveis e são removidos para comer, escovar os dentes e passar o fio dental, o que facilita bastante o dia-a-dia de pacientes adultos que precisam se relacionar com pessoas no trabalho.
O uso destes alinhadores têm feito com que cada vez mais pacientes adultos que por uma série de motivos não puderam fazer a correção ortodôntica quando mais jovens, venham aceitar de forma muito mais fácil este tratamento e se beneficiar das vantagens da correção ortodôntica pelo resto de suas vidas.

Os alinhadores dentais são uma forma prática, segura e altamente previsível de corrigir o posicionamento dos dentes, sem causar alterações mito bruscas na rotina do paciente.
Quanto tempo dura um tratamento ortodôntico em adultos?
O tratamento ortodôntico com aparelhos convencionais dura em média entre 12 e 24 meses, contudo esse tempo pode variar dependendo de alguns fatores. Esses fatores vão desde a gravidade da má oclusão (mordida), idade e colaboração do paciente, resposta individual, necessidade de extrações dentárias ou cirurgias, mas na grande maioria dos casos não deve passar de 2 anos caso o paciente seja assíduo nas manutenções e colabore no tratamento.
Se você está assíduo em suas manutenções e seu tratamento está se estendendo por mais de 2 anos e você ainda está insatisfeito com os resultados, é possível que algo esteja errado.
Como dissemos anteriormente, o tratamento ortodôntico requer um diagnóstico e planejamento preciso, condições que são responsabilidades do seu ortodontista. O ortodontista é responsável não apenas por estas etapas, mas também pela execução precisa do tratamento. Caso as coisas não estejam indo bem, é preciso que converse com seu ortodontista e tente descobrir o que está acontecendo de errado.
Muitas vezes, os pacientes apresentam uma desproporção do tamanho dos maxilares e seriam beneficiados com a correção dessa discrepância através de um procedimento cirúrgico que é a Cirurgia Ortognática. No INCOM, somos especialistas em Cirurgia Ortognática e uma conversa com nosso cirurgião irá esclarecer os benefícios deste procedimento.
Quais os tipos de aparelho ortodôntico mais usados em adultos?
1. Aparelho fixo metálico
Este é o tipo mais comum de aparelho dentário e utiliza os bráquetes e fios metálicos, os mais conhecidos da maioria da população. Este aparelho tende a ser bastante resistente e eficiente, atingindo resultados satisfatórios e indicado para quase a totalidade dos casos de má oclusão. A maior desvantagem está relacionada à estética do sorriso, por causa da aparência metálica, além de poder causar traumas na mucosa. Requer uma mudança nos hábitos de higiene dental e alimentação para prevenir quebras dos bráquetes e cárie dentária.

Aparelho dentário Belém
O aparelho dentário metálico é tipo de aparelho ortodôntico mais usado e possui grande alicação terapêutica.
2. Aparelho fixo estético - Aparelho dentário Belém,
Os aparelhos fixos estéticos são aqueles feitos de outros materiais que se aproximam da coloração dos dentes, como os aparelhos de porcelana e safira. Contam com braquetes da cor dos dentes ou transparentes, tornando o aparelho dentário quase imperceptível, tanto em longas distâncias quanto em “distância social”.
Além de possuírem uma estética favorável, podem ser aplicados no tratamento da maioria das más oclusões, assim como os aparelhos metálicos e tem como desvantagem um custo um pouco mais elevado, além de serem um pouco mais frágeis.

Aparelho dentário Belém
O aparelho dentário estético apresenta coloração transparente (safira) ou muito próxima da coloração natural dos dentes (cerâmico), sua vantagem está na manutenção da estética dentária, favorecendo sua aceitação em pacientes adultos.
Descreveremos a seguir a principal diferença entre cada um deles!
Aparelho dentário Belém - Porcelana:
O aparelho de porcelana apresenta uma cor branca/leitosa e seus bráquetes são de tamanho pequeno e relativamente resistentes. Necessita do uso das borrachinhas, e seu custo é intermediário entre o aparelho fixo e o de safira.
Uma das principais vantagens do aparelho dentário de porcelana é que os bráquetes não mudam de cor com o passar do tempo, mantendo a estética durante todo o tratamento. Devido à grande aceitação estética, o custo-benefício dos aparelhos estéticos valem a pena e aumentam enormemente a aceitação por parte de pacientes adultos.
Aparelho dentário de safira:
O aparelho de safira é o mais discreto dos tipos de aparelho dentário, mas possui o custo mais elevado entre eles. São feitos de porcelana monocristalina e deixam uma aparência semelhante ao vidro. Assim, eles se misturam com as cores dos dentes de forma fácil e tornando-os quase imperceptíveis.
O aparelho de safira possui a desvantagem no quesito resistência, sendo o mais frágil de todos eles, isso pode tornar a reposição desses bráquetes mais frequentes e mais caras.
3. Aparelho autoligado - Aparelho dentário Belém
O aparelho dentário autoligado é aquele que possui um sistema de fixação do arco dentro dos próprios bráquetes, e por isso dispensam os elásticos de fixação. Isso pode tornar o uso mais confortável e discreto em algumas situações.
Uma outra vantagem do aparelho autoligado é que seus bráquetes possuem tamanho reduzido quando comparados aos aparelhos convencionais. Em situações específicas, o aparelho dentário autoligado pode ser mais efetivo que o convencional, podendo tornar o tratamento mais rápido. O aparelho dentário autoligado também pode ser encontrado nos modelos estéticos.

Aparelho dentário Belém
O alinhador, também conhecido como aparelho ortodôntico invisível, é um tipo de aparelho ortodôntico removível com uma excelente estética e mínimo desconforto.
4. Alinhadores transparentes
Os alinhadores estão ganhando cada vez mais espaço na ortodontia moderna e suas indicações aumentam a cada dia. A experiência sugere que eles são eficazes para apinhamento moderado dos dentes anteriores, mas menos eficazes do que aparelhos convencionais para vários outros problemas e não são recomendados para crianças.
Em particular, eles são indicados para "apinhamento leve a moderado e espaçamento leve a moderado”, nos casos em que não há discrepâncias dos maxilares. Eles também são indicados para pacientes que tiveram recidiva após tratamento ortodôntico fixo.
A grande vantagem dos alinhadores é a previsibilidade de tratamento, visto que o resultado final é estimado desde o início e o número de alinhadores definido nesse processo. Cada alinhador deve ser usado no mínimo 22 horas por dia durante uma a duas semanas. Em média, o processo de tratamento leva 13,5 meses, embora o tempo de tratamento varie com base na complexidade dos movimentos dentais planejados.
Casos mais simples podem ser resolvidos em períodos bastante curtos como 6 meses de tratamento, algo muito difícil de se conseguir com aparelhos ortodôntico convencional. Os alinhadores podem ser removidos para realizar a escovação, passar fio dental e comer.
Como os alinhadores transparentes são feitos de plástico, eles podem ser deformados por líquidos quentes. Durante o tratamento, você deve limitar a ingestão de líquidos quentes para proteger a forma dos alinhadores e evitar que fiquem manchados. Uma vez que o período de tratamento foi concluído, o paciente é aconselhado a continuar usando uma contenção durante a noite por um período de tempo, assim como feito na ortodontia convencional.
Os alinhadores se encaixam com perfeição na boca motivo pelo qual os tornam praticamente imperceptíveis. Outra vantagem dos alinhadores, é que esse tipo de tratamento não exige que o paciente vá com a mesma frequência ao consultório dentário, sendo que as trocas de alinhadores podem ser feitas em sua maioria elo paciente em casa mesmo, de acordo com as orientações do ortodontista.
Como são classificação as más oclusões? (Classificação de Angle)
Edward Angle é considerado o pai da ortodontia moderna e foi o primeiro a classificar a má oclusão. Uma má oclusão é um desalinhamento ou relação incorreta entre os dentes dos dois arcos dentários quando eles se fecham. Ele baseou suas classificações na posição relativa do primeiro molar superior permanente. Angle acreditava que a relação anteroposterior da base dentária poderia ser avaliada de forma confiável a partir da relação do primeiro molar permanente, já que sua posição permaneceu constante após a erupção. No caso de ausência dos primeiros molares, a relação dos dentes caninos deve é usada.
Aparelho dentário Belém- Oclusão Normal
Relação molar: de acordo com Angle, a cúspide mésio-vestibular do primeiro molar superior se alinha com o sulco vestibular do primeiro molar inferior.
Relação Canina: O canino superior oclui com a metade distal do canino inferior e a metade mesial do primeiro pré-molar inferior.
Linha de Oclusão: Todos os dentes se encaixam em uma linha de oclusão que, na arcada superior, é uma curva lisa através da fossa central dos dentes posteriores e cíngulo dos caninos e incisivos, e na arcada inferior, é uma curva lisa através das cúspides vestibulares dos dentes posteriores e bordas incisais dos dentes anteriores. Há alinhamento dos dentes, sobremordida e sobressaliência normais e linhas médias maxilar e mandibular coincidentes.
Visite também a nossa seção sobre Cirurgia Ortognática e conheça mais sobre o tema.
Padrões faciais com diversos tipos de maloclusão e os efeitos da cirurgia ortognática.
Tags mais procuradas: Aparelho dentário Belém, Aparelho dentário, Cirurgia ortognática

Home
Sobre
Nossos Serviços
Harmonização
Estética Dentária
Diferencial
Cirurgias
Blog
Contato

